Your Comprehensive Guide from Sweet Hart Dental
Have you noticed white spots on your teeth that won’t go away? These chalky patches—also called white spot lesions—are more common than you think. At Sweet Hart Dental, Dr. Darlene Hart helps patients understand what causes white spots on teeth and find the right treatment.
Serving communities in Coral Springs, Davie, Miramar, and surrounding areas, this detailed guide covers everything about everything about white spots, calcium deposits, dental fluorosis, and decalcification. As a proud black-owned business dedicated to family-friendly dental care in Pembroke Pines, we’re here to help. Ready to tackle your calcium stains? Call Sweet Hart Dental today at (954) 437-9288 to book a consultation with Dr. Hart.
What Causes White Spots on Teeth?
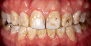
White spots on teeth, sometimes called calcium stains or white spot lesions, manifest as white, creamy, or pale brown spots embedded in the tooth enamel. Unlike fleeting stains from beverages like coffee or red wine, these are intrinsic and permanent within the tooth’s structure.
White spots on teeth can result from several different conditions, not just one issue. Understanding the cause is key to proper treatment.
1. Dental Fluorosis (Excess Fluoride)

Severity levels: Mild (subtle white streaks), moderate (noticeable white patches), severe (brown discoloration or pitting).
Common causes: Swallowing toothpaste, high-fluoride water, unnecessary fluoride supplements.
2. Decalcification (Early Cavities)
These white spots are early-stage tooth decay from acid-producing bacteria. Unlike fluorosis, decalcification happens after teeth develop and can be reversed if caught early.
Common causes: Poor oral hygiene, plaque buildup around braces, high sugar consumption.
3. Enamel Hypoplasia (Thin Enamel)
This developmental condition creates thinner-than-normal enamel with white spots or grooves.
Causes: Genetic factors, vitamin deficiencies, premature birth, childhood illnesses, malnutrition, certain prenatal medications.
4. Hypocalcification (Calcium Deficiency)
Poor calcium absorption during tooth development results in white or cream-colored spots.
Causes: Low calcium diet, vitamin D deficiency, celiac disease, kidney problems.
Prevention Tactics: Safeguarding Smiles for Tomorrow
Guidance for Parents and Kids
- Fluoride Control: Use a pea-sized amount of toothpaste for children, check local water fluoride, consult Dr. Hart on supplements, and supervise brushing up to age six.
- Dietary Essentials: Ensure calcium and vitamin D intake, promote balanced prenatal diets, and cut sugary items.
Ongoing Dental Oversight
- Start visits by age one, and maintain bi-annual dental checkups at Sweet Hart Dental.
- Early spotting of issues, tailored oral care advice.
Awareness Measures
- Test home water, select suitable products, avoid excess fluoride, and share family history with Dr. Hart.
Protect your child’s smile? Contact Sweet Hart Dental at (954) 437-9288 for preventive care, including sealants and fluoride treatments.
Treatment Pathways: What to Do About “Calcium Spots”
In-Office Approaches
Microabrasion: Gently removes surface stains while protecting healthy enamel.
- Whitening Sessions: Professional tooth whitening treatments to harmonize color.
- Dental Bonding: Resin application for seamless coverage.
- Porcelain Veneers: Thin porcelain shells for transformative aesthetics.
- Dental Crowns: For extensive damage, offering protection and beauty.
Home-Based Support
- Custom whitening trays from Dr. Hart.
- Remineralizing pastes, fluoride routines, enhanced hygiene.
Embracing Acceptance: Celebrating Your Unique Smile
When Opting Out of Treatment
It’s okay to skip interventions. At Sweet Hart Dental, we empower your choices and help you prevent further erosion of your enamel, instead of merely addressing cosmetic concerns.
Perks of Acceptance
- No costs or procedures.
- Retain natural teeth and prevent additional damage to your tooth enamel from irreversible options like dental veneers.
- Prioritize health over looks.
- Less anxiety for sensitive patients.
Health Maintenance Without Changes
- Hygiene Excellence: Fluoride brushing twice daily, daily flossing, and teeth cleanings every six months.
- Lifestyle Tweaks: Limit staining foods, use straws, rinse post-meals, quit tobacco.
Boosting Self-Assurance
- Value your smile’s health over “Hollywood Smile” aesthetics.
- Recognize stains as a normal part of natural wear.
- Focus on future hygiene successes and establish an ongoing relationship with your Pembroke Pines dentist.
Continued Checkups
Twice-yearly dental checkups are essential for decay prevention, monitoring, and overall care. Patients with dental fluorosis should be aware that eroded enamel can lead to tooth sensitivity and make them more susceptible to decay. Avoid acidic foods and beverages, use fluoride appropriately, and consult Dr. Hart for other professional treatment options like dental sealants to prevent tooth decay.
Whether Your Concerns Are Cosmetic or Go Deeper, Dr. Hart Has Your Back
Our teeth are a big part of our forward-facing appearance, and small problems like calcium stains on the front teeth can be a sort of embarrassment or even worry. Finding a reliable, judgment-free dentist that you can trust not to pressure you into dental treatment you’re not ready for can feel difficult.
Dr. Darlene Hart, our Pembroke Pines dentist near you, has treated patients from many backgrounds. People who’ve been going to the dentist every year since they were children, to people who’ve never been to the dentist, can feel comfortable knowing that you’re getting more than professional dental care with Sweet Hart Dental. You’re getting compassion, education, and understanding of your individual oral needs and life experience.
Schedule your appointment by calling (954) 437-9288 or filling out our online contact form. We’re proud to serve patients from our surrounding areas of Cooper City, Weston, and Scott Lake, and beyond.


3. Enamel Hypoplasia (Thin Enamel)
Guidance for Parents and Kids
Microabrasion: Gently removes surface stains while protecting healthy enamel.
Continued Checkups